ד"ר גלי בוך
מומחית ליישור שיניים ולסתות
רופאה בכירה במחלקת פה ולסת בביה"ח סורוקה.
ד"ר גלי בוך סיימה את לימודי רפואת השיניים באוניברסיטת תל אביב בשנת 2010 והתמחתה במחלקת אורתודונטיה בבית חולים רמב״ם (חיפה).
בנוסף השלימה תואר שלישי (PhD) במדעי הרפואה, בו חקרה את השפעת הגיל על תאי גזע מרירית הפה.
בשנת 2016, ד"ר בוך זכתה במקום ראשון לאחר שהציגה את עבודת הדוקטורט שלה במסגרת תחרות לרופאי שיניים חוקרים – תחרות האטון הישראלית של הארגון הבינלאומי למחקר דנטלי (IADR).
בעקבות זכייתה, היא נשלחה לסן פרנסיסקו לייצג את ישראל בשנת 2017, וזכתה במקום שני בתחרות האטון העולמית.
ד"ר בוך חברה בהסתדרות לרפואת שיניים ובאגודה האורתודונטית בישראל.
יישור שיניים הוא תהליך שלא קורה ביום אחד. סבלנות, התמדה ושיתוף פעולה מלא עם המטופל יוביל לתוצאה האופטימלית. כמו כן, התאמה נכונה של סוג הטיפול למבנה הפנים היא המפתח להצלחת התהליך.
עבורי, יישור שיניים הוא הרבה מעבר לסידור שורת השיניים. מדובר בהליך טרנספורמטיבי שמחולל שינוי חיצוני במראה הפנים ומשפר את הפרופיל, וחשוב מכך – יוצר שינוי פנימי עצום בביטחון העצמי ובאיכות החיים של המטופל.
זו הסיבה העיקרית שאני אוהבת את המקצוע: היכולת להעניק למטופלים לא רק חיוך יפה, אלא גם תחושה מחודשת של ערך וביטחון.
סוגי טיפולים
טיפול מוקדם
האיגוד האורתודונטי האמריקאי והישראלי ממליץ להגיע לבדיקה ראשונית בגילאים 7-8 שנים על מנת לאבחן בעיות בבקיעת השיניים ובהתפתחות הלסתות. אבחון וטיפול מוקדם יכול למנוע עקירות שיניים ואף טיפולים כירורגים מורכבים.
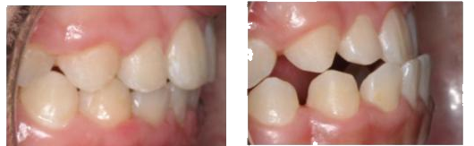
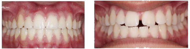
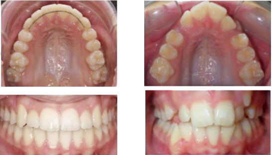
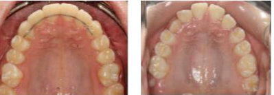
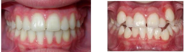
לפני ואחרי...






מטופלים ממליצים
מְעוּלֶה מבוסס על 12 ביקורות פורסם ב- matan stikaTrustindex מוודא שהמקור המקורי של הסקירה הוא Google. תותחית. עבודה מצוינת כיייף ליראות את השינים כל רגע.פורסם ב- ynon gurTrustindex מוודא שהמקור המקורי של הסקירה הוא Google. ד'ר גלי מעולה! מקצועית, לבבית, ומתמודדת גם עם משימות יישור מסובכות! השיניים של הבת שלי ישרות והיא מרוצה מאוד!! אז אנחנו ממליצים!פורסם ב- ליז קינןTrustindex מוודא שהמקור המקורי של הסקירה הוא Google. סיימנו את הטיפול האורטודנטי אצל ד״ר דנה המדהימה !!! השיניים פשוט וואוווו ישרות כסרגל !!! הילד מרוצה ואני עוד יותר .😁 ד״ר דנה מקצועית , סובלנית , נעימה , חייכנית ותמיד תתן את העצה הכי טובה ! מאוד ממליצה להגיע אליה לטיפול שיניים !פורסם ב- Itay HaiTrustindex מוודא שהמקור המקורי של הסקירה הוא Google. מרוצים מאוד מהתוצאה הסופית רופאה מקצועית נעימה . יצא מושלם !פורסם ב- תמי גרוסברדTrustindex מוודא שהמקור המקורי של הסקירה הוא Google. נהננו מאוד מד"ר גלי היא מקצועית ויעילה, עבדה בזריזות השיניים היו עקומות מאוד ועכשיו הם פלס!! ממליצים בחום עליהפורסם ב- roi piro29Trustindex מוודא שהמקור המקורי של הסקירה הוא Google. רופאה מומחית עם סבלנות, נגישות לילדים ונוער. פדנטית ברמה הכי גבוהה ויורדת לרזולוציות הכי נמוכות כדי שהשיניים יהיו מושלמות, ממש ממליץ, התוצאה של הבן שלי יצאה מדהים והיו לו שיניים ממש בעייתיות כולל שיניים שמאחורי כולם והיא פשוט סידרה הכל.פורסם ב- יונתן כדוריTrustindex מוודא שהמקור המקורי של הסקירה הוא Google. דר גלי רופאה מדהימה הייתה קשובה מאוד ואכפתיות מאוד בכל התהליך ממליץ מאוד בחום חזרתי לחייך בזכותהפורסם ב- עדי משעליTrustindex מוודא שהמקור המקורי של הסקירה הוא Google. ברצוני להמליץ בחום על ד”ר גל, רופאת שיניים במרפאת כללית סמייל. עברתי אצלה תהליך של יישור שיניים (גשר), ולאחרונה סיימתי והסרתי אותו והתוצאה פשוט מושלמת! לאורך כל התקופה ד”ר גל הפגינה מקצועיות, סבלנות ואכפתיות. היא הסבירה כל שלב בצורה ברורה, דאגה שאהיה רגועה ונינוחה, ותמיד קיבלה אותי בחיוך וביחס אישי וחם. העבודה שלה מדויקת ואיכותית, והתוצאה מדברת בעד עצמה – חיוך מושלם שאני גאה בו מאוד 😊 אני מודה לד”ר גל על הליווי המסור וממליצה עליה מכל הלב לכל מי שמחפש רופאת שיניים מקצועית, נעימה ואכפתית. בברכה עופרה ושי משעלי
יצירת קשר
- 050-436-2019
- ימים א'-ה' 9:00-17:00
- DrGaliBuch@gmail.com
- הרצל 3 - בית שמש